
اخبار یوروباز: روز اول
اخبار یوروباز: روز اول. گزارش اد و جف از جلسه شبکه بیماری هانتینگتون اروپا در استکهلم

احتیاط: ترجمه خودکار – احتمال خطا
برای انتشار اخبار تحقیقات HD و بهروزرسانیهای آزمایشی در اسرع وقت به حداکثر تعداد افراد، این مقاله به طور خودکار توسط هوش مصنوعی ترجمه شده و هنوز توسط ویراستار انسانی بررسی نشده است. در حالی که ما تلاش میکنیم اطلاعات دقیق و قابل دسترس ارائه دهیم، ترجمههای هوش مصنوعی ممکن است حاوی خطاهای دستوری، تفسیرهای نادرست یا عبارات نامفهوم باشند.برای اطلاعات موثقتر، لطفاً به نسخه اصلی انگلیسی مراجعه کنید یا بعداً برای ترجمه کاملاً ویرایششده توسط انسان دوباره مراجعه کنید. اگر متوجه مشکلات قابل توجهی شدید یا اگر زبان مادری شما این زبان است و میخواهید در بهبود ترجمههای دقیق کمک کنید، لطفاً با editors@hdbuzz.net تماس بگیرید.
اولین گزارش روزانه ما از جلسه شبکه بیماری هانتینگتون اروپا در استکهلم. برای روز دوم ما را به صورت زنده در توییتر یا فیسبوک در HDBuzzFeed دنبال کنید. ویدیوی جلسه زنده یوروباز روز – با اخبار، مصاحبهها و ویژگیها – به زودی برای تماشا در HDBuzz.net در دسترس خواهد بود.
جمعه، ۲۴ شهریور ۱۳۹۱
8:11 – به یوروباز ۲۰۱۲ خوش آمدید، گزارش زنده اد وایلد و جف کارول از جلسه شبکه بیماری هانتینگتون اروپا در استکهلم.

8:43 – اد: دیوید لگا، پارالمپین و معاون شهردار گوتنبرگ، به شبکه بیماری هانتینگتون اروپا در استکهلم خوشامد میگوید.
8:48 – جف: افکار زیبا برای شروع جلسه از دیوید لگا – ورزشکار، تاجر و فعال معلولیت. او میگوید: «من همیشه معلول خواهم بود، اما فقط معلول نیستم.»
9:12 – اد: مایکل هایدن (دانشگاه بریتیش کلمبیا): ممکن است به اندازه ۱ در ۱۰۰۰ نفر ۵۰٪ یا ۲۵٪ در معرض خطر بیماری هانتینگتون باشند. خطر حمل یک ژن «میانی» یا «منطقه خاکستری» بیماری هانتینگتون ممکن است در جمعیت عمومی ۵٪ باشد.
9:22 – جف: مایکل هایدن (UBC) میگوید که HD شایعتر از آن چیزی است که قبلاً تصور میشد – به اندازه ۱۵/۱۰۰۰۰۰. حتی شگفتانگیزتر، این بدان معناست که ۱/۱۰۰۰ دارای یک والد یا پدربزرگ و مادربزرگ مبتلا به HD هستند.
9:45 – جف: کریستینا سامپایو، مدیر ارشد بالینی در CHDI Foundation Inc.، این سوال را میپرسد – چه نوع آزمایشهایی را باید انجام دهیم؟ او از آزمایشهای کوچکتر و انعطافپذیرتر به امید آزمایش سریعتر داروها حمایت میکند. سازمان او در حال انجام کارهای مقدماتی زیادی برای آمادهسازی زمینه برای این آزمایشهای جدید است.
9:50 – اد: کریستینا سامپایو، رئیس سابق آژانس دارویی اروپا، تفکر واقعبینانه در مورد چگونگی ظهور درمانهای HD را تشویق میکند. بسیاری از داروها و رویکردهای هیجانانگیز در حال حاضر در حال آزمایش یا نزدیک به آن هستند. داروهای آینده بیماری هانتینگتون ممکن است پیشگیرانه، اصلاحکننده بیماری یا علامتدار – یا ترکیبی از اینها باشند. آزمایشهای بالینی آینده بیماری هانتینگتون باید هوشمندانهتر طراحی شوند، کوچکتر و دقیقتر باشند.
10:25 – اد: الکساندرا دور (پاریس) میگوید هر چه زودتر بتوانیم HD را درمان کنیم، بهتر است. این بدان معناست که ما باید اولین تغییرات را تشخیص دهیم. حاملان ژن بیماری هانتینگتون میتوانند با مقدار شگفتانگیزی از کوچک شدن مغز بدون بروز علائم کنار بیایند.
10:32 – جف: گروه الکساندرا دور در حال مطالعه افرادی است که حامل جهش HD هستند و دریافتند که آنها متفاوت یاد میگیرند – حتی قبل از ابتلا به HD. در آزمایشگاه، آنها به مجازات بدتر و به یادگیری نوع پاداش بهتر پاسخ دادند. یک دلیل دیگر برای مهربان بودن!
11:23 – اد: هوگو آگیلانیو (لیون، فرانسه) میپرسد چه ژنهایی که پیری را کنترل میکنند ممکن است در مورد بیماری هانتینگتون به ما بگویند. کرمها با جهشهای ژنتیکی خاص بسیار بیشتر از حد معمول عمر میکنند. آیا این میتواند نوری بر افزایش سلامت سلولها در HD بتاباند؟
11:55 – اد: Włodz Krzyzosiak – مولکول ‘پیام’ RNA برخی از بیماریهای ژنتیکی گاهی اوقات مضر است – نه فقط پروتئینها. مطالعه مولکولهای پیام RNA، و همچنین DNA و پروتئینها، میتواند به درک و درمان بیماریهایی مانند هانتینگتون کمک کند.
12:19 – جف: ری تروانت، از دانشگاه مکمستر، میخواهد بفهمد ژنی که باعث HD میشود به طور معمول چه کاری انجام میدهد. شگفتآور است که این هنوز کمی راز است.
12:20 – اد: ری تروانت (کانادا) – پروتئین هانتینگتین باعث HD میشود، اما چه کاری انجام میدهد؟ پروتئین هانتینگتین طبیعی کارهای مختلفی را در سلولهای ما انجام میدهد. این یکی از بزرگترین پروتئینهایی است که ما داریم. پروتئین هانتینگتین قسمتهای زیادی دارد که شبیه یک ‘اسلینکی’ یا فنر هستند. آیا فشردهسازی یا کشش هانتینگتین میتواند مهم باشد؟ هانتینگتین همچنین از یک قسمت سلول به قسمت دیگر حرکت میکند. ‘برچسبها’ یا ‘نشانههای’ شیمیایی حرکت آن را کنترل میکنند. پروتئین جهشیافته در نهایت دارای ‘برچسبهای فسفو’ بیش از حد است. این ممکن است باعث تجمع آن در هسته سلولهای ما شود. یکی از کارهایی که پروتئین هانتینگتین در آن دخالت دارد، پاسخ به استرس فیزیکی و شیمیایی است. مطالب جذاب.
12:36 – اد: اگر قرار است HD را شکست دهیم، واقعاً باید پروتئین هانتینگتین طبیعی و جهشیافته را درک کنیم. کار تروانت واقعاً مهم است
12:38 – جف و اد در ساعت 6 بعد از ظهر به وقت اروپای مرکزی با تروانت و سایر دانشمندان برتر هانتینگتون روی صحنه مصاحبه میکنند. ویدیو بعداً به صورت آنلاین در HDBuzz.net در دسترس خواهد بود
12:39 – اد: تروانت به ما میگوید پروتئین هانتینگتین روی خودش خم میشود تا یک سنجاق سر تشکیل دهد. ‘CAG’ گسترشیافته که باعث بیماری هانتینگتون میشود، این را تغییر میدهد. مولکولهای دارو میتوانند تعداد برچسبهای فسفو اضافه شده به پروتئین هانتینگتین را تغییر دهند و تا خوردن و حرکت آن را در سلولها تغییر دهند. تروانت ایده خود را فرضیه ‘لولا زنگزده’ مینامد – جهش HD انعطافپذیری را کاهش میدهد، از کمک هانتینگتین به سلول برای پاسخ به استرس جلوگیری میکند. تروانت یک سوال جالب میپرسد: آیا پروتئین هانتینگتین در سایر بیماریهای عصبی مانند آلزایمر، پارکینسون و ALS نقش دارد؟

12:50 – اد: وقت ناهار در استکهلم است. بهروزرسانیهای بیشتر بعداً. مخاطبان بزرگ دانشمندان و پزشکان
14:00 – اد: ما برگشتیم! جولیانا برونزووا در حال بحث در مورد استراتژی علمی شبکه Euro-HD برای مبارزه با بیماری هانتینگتون است. EHDN تمام جنبههای تحقیقات بیماری هانتینگتون از جمله پشتیبانی از آزمایشهای بالینی را هماهنگ و پشتیبانی میکند
14:17 – اد: اولیور کوارل (شفیلد، انگلستان) بهروزرسانی در مورد گروه کاری بیماری هانتینگتون نوجوانان ارائه میدهد – حدود یک در 20 بیمار HD قبل از 20 سالگی علائم را نشان میدهند – این HD نوجوانان است و به اندازه کافی از نزدیک مورد مطالعه قرار نگرفته است
14:19 – اد: یک شاخه جدید از مطالعه ثبت EHDN در حال ثبتنام بیماران HD نوجوانان در اروپا است. تاکنون 40 نفر JHD ثبتنام کردهاند!
14:20 – اد: کوارل میگوید موارد HD نوجوانان زودتر شروع میشوند اما آیا سریعتر پیشرفت میکنند؟ و آیا میتوان از این برای آزمایش سریعتر داروها استفاده کرد؟ در حال حاضر ما نمیدانیم که آیا HD نوجوانان سریعتر پیشرفت میکند یا خیر، اما با استفاده از اسکن مغز در حال مطالعه است. HD نوجوانان معمولاً دارای ‘طول تکرار CAG’ زیادی است. اسکنهای MRI اولیه نشان میدهد که تکرارهای بزرگتر باعث کوچک شدن سریعتر مغز میشوند. روش سنتی ارزیابی HD برای بیماران جوان مبتلا به JHD عالی نیست. گروه #EHDN JHD در حال آزمایش مقیاسها و پرسشنامههای جدید است.
14:27 – اد: کاتیا یوسوف در حال ارائه بهروزرسانی در مورد گروه کاری ‘مرحله پیشرفته بیماری هانتینگتون’ EHDN است. تمرکز اصلی گروه HD پیشرفته ترویج مراقبت بهتر است. یک کتابچه راهنما در حال کار است. مانند HD نوجوانان، بیماران با علائم پیشرفته با روشهای موجود برای اندازهگیری علائم بیماری ناکام میمانند و آزمایشها را دشوار میکنند. گروه HD پیشرفته EHDN یک مقیاس رتبهبندی جدید، UHDRS-FAP، برای حمایت از آزمایشهای بالینی در بیماریهای بعدی ایجاد کرده است
14:39 – اد: سایمون بروکس (کاردیف، انگلستان) اثر برنامههای ورزشی را در موشهای HD مطالعه میکند و از فیزیوتراپی در انسان تقلید میکند. یک موش HD میتواند 5 کیلومتر در یک شب بدود! برخی از انواع ورزش در موشها مفیدتر از سایرین هستند. وقتی موشها روی چرخ زیاد میدوند، سریعتر و فعالتر میشوند. بارزترین اثرات ورزش در موشهای HD بر سرعت تفکر است. موشهایی که ورزش میکنند نیز کوچک شدن مغز کمتری دارند.
14:51 – اد: مونیکا بوسه (کاردیف، انگلستان) گروه فیزیوتراپی EHDN را رهبری میکند که بهترین روشهای فیزیو را برای بیماری هانتینگتون مطالعه میکند. گروه فیزیو EHDN در حال توسعه یک DVD ورزشی خانگی مبتنی بر شواهد به نام “حرکت برای ورزش” برای افراد مبتلا به بیماری هانتینگتون است. گروه فیزیو EHDN در حال انجام چندین مطالعه ورزشی مبتنی بر جامعه و سالن ورزشی دیگر برای یافتن بهترین راه برای فعال ماندن در HD است.
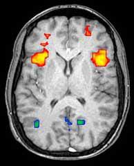
15:14 – اد: مایک اورت (اولم، آلمان) فعالیت مغز را در افراد دارای جهش بیماری هانتینگتون مطالعه میکند. مغز حامل جهش HD مقادیر مختلفی از فعالیت را در حالت استراحت نشان میدهد و جالب اینجاست که اتصالات بین مناطق افزایش یافته است. مایک اورت یکی از دانشمندانی است که بعداً با او مصاحبه خواهیم کرد – فیلمها به زودی در دسترس خواهند بود.
15:20 – جف: مایکل اورت، متخصص مغز و اعصاب در دانشگاه اولم، تغییرات در “شبکه حالت پیشفرض” مغز را مطالعه میکند. اینها قسمتهایی از مغز هستند که وقتی “در حال استراحت” یا “خیالپردازی” هستیم و به چیز خاصی فکر نمیکنیم، فعال هستند. وقتی روی چیز خاصی تمرکز میکنیم، این مناطق مغزی معمولاً آرام میشوند. در مغز حاملان جهش HD، این ساکت شدن ناقص است، به دلایلی که هنوز مشخص نیست. دانشمندانی مانند مایکل اورت از تکنیکی به نام “تصویربرداری تشدید مغناطیسی عملکردی” یا fMRI برای مطالعه اینکه کدام قسمتهای مغز در یک زمان معین فعال هستند، استفاده میکنند.
15:27 – اد: نلی جورجیو-کاریستیانیس (استرالیا) نیز در مورد فعالیت مغز صحبت میکند. دکتر G-K از تستهای تفکر در اسکنر MRI عملکردی برای به چالش کشیدن و بررسی عملکرد مغز در حاملان جهش بیماری هانتینگتون استفاده میکند. او به طور مکرر از fMRI در طول زمان استفاده میکند، ما میتوانیم ببینیم چه تغییراتی در HD رخ میدهد و چه چیزی را میتوانیم اندازهگیری کنیم و هدف ما نجات با درمان است.
15:35 – اد: الن ‘ت هارت (لیدن، هلند) در حال مطالعه بیمارانی با الگوهای مختلف علائم حرکتی در HD است. برخی از افراد HD رقص (حرکات اضافی) زیادی دارند. برخی دیگر سفتی بیشتری دارند. آیا تغییرات تفکر از مشکلات حرکتی پیروی میکنند؟ او از دادههای مطالعه ثبت EHDN برای شناسایی بیماران ‘بیقرار’ و ‘سفت’ استفاده کرد و تواناییهای تفکر را در دو گروه بررسی کرد. بیماران ‘بیقرار’ نسبت به بیمارانی که سفتی مشکل اصلی آنها بود، تواناییهای تفکر و عملکرد بهتری داشتند.
17:09 – جف: پاتریک بروندین، از موسسه Van Andel، در حال ارائه بررسی تلاشها برای استفاده از ‘سلولهای بنیادی’ برای ترمیم آسیب در مغز مدلهای حیوانی و بیماران HD به جلسه است.
17:12 – اد: پاتریک بروندین (موسسه Van Andel): آزمایشهای پیوند سلولهای جنینی هنوز در کنار درمانهای سلولهای بنیادی در حال انجام است.
بیشتر بدانید
برای اطلاعات بیشتر در مورد سیاست افشای اطلاعات ما، به سوالات متداول مراجعه کنید…


